セラミック治療・審美治療
あなたの笑顔に自信という輝きを
白く美しい歯や健康的な歯ぐきは、笑顔の印象を大きく左右します。
こちらでは高石駅前「のだ歯科クリニック」が、見た目だけでなく機能面も重視したセラミック治療をはじめ、ホワイトニングやガムピーリングなどの審美的アプローチについてご紹介します。
「セラミック=審美目的」と思われがちですが、当院では再治療を防ぐための精度や耐久性を重視したセラミック治療を行っています。
歯の黄ばみや歯ぐきの黒ずみが気になる方にも、患者さん一人ひとりのお悩みに合わせたご提案が可能です。
セラミック治療
むし歯治療をした時の銀歯が目立って気になる……という方は多くいらっしゃいます。
セラミック治療は、そうした見た目のお悩みを改善できることはもちろん、むし歯の再発を防ぐための適合精度や耐久性にも優れており、審美性・機能面で大きなメリットがあります。
高石駅前「のだ歯科クリニック」では、見た目と機能の両面を重視したセラミック治療をご提供しています。
銀歯を自然な見た目に変えたい方はもちろん、長く安定した口腔環境を目指したい方もぜひご相談ください。
銀歯をおすすめしない理由

保険によるむし歯治療では、むし歯の箇所を削ってから、金属製のつめ物やかぶせ物などいわゆる銀歯の技工物で修復することが一般的です。しかし金属製補綴物による修復は、のちに次のようなトラブルを招く恐れがあります。
- 白い歯の中で、銀歯は目立ってしまう
- 銀歯の下がむし歯になりやすい
- 銀歯がある箇所の歯ぐきが黒ずんでしまう
- 金属アレルギーを引き起こす恐れがある
そこで、銀歯をセラミックの歯に替えることで、天然歯のように美しい見た目と耐久性を実現することが可能です。セラミックは金属アレルギーの心配がなく、体に優しい素材です。すき間なく修復できるので、銀歯の下がむし歯になってしまうリスクも減らせます。
自費のため費用はかかりますが、審美治療は見た目だけでなく、耐久性や機能性、安全性にも優れた治療です。口元の見た目にお悩みの方、審美治療で魅力的な口元に改善して、自然な笑顔をとり戻しましょう。
当院の特徴
精度の高い技工物をご提供しています

見た目の美しさだけにこだわっただけの審美治療では、むし歯が再発する恐れがあります。技工物の精度が低いと、歯とかぶせ物の間にすき間ができてしまい、そこからむし歯菌が侵入してしまう恐れがあるからです。
そこで当院では、審美性が高く、精度にもこだわった補綴物のご提供を目ざしています。精度の高い技工物によってむし歯の再発を防ぐ、見た目も健康面も配慮した審美治療を行っています。
歯科医師が丁寧に型採りを行い、精度の高い模型を作製。スキルの高い歯科技工所と提携することで、すき間のない非常に精巧なかぶせ物のご提供を可能にしています。
取り扱いセラミック治療
のだ歯科クリニックでお取り扱いしている審美素材です。当院では患者さんとしっかりカウンセリングを行い、患者さんのお口の状態やご要望、ご予算に合わせた治療のご提案が可能です。ご不明な点があれば、ご納得いただくまでご相談ください。
シンプルセラミックインレー

・歯との接着性が高いため、外れにくく歯に負担がかからない
・汚れがつきにくい材質のため虫歯になりにくく、経年劣化による変色がない
・金属を使用していないため体に優しい
・写真撮影による色合わせや、より自然な見た目を出すための色付け(ステイニング)を省いて価格を抑えたプラン
セラミックインレー

・歯との接着性が高いため、外れにくく歯に負担がかからない
・美しさ、強度の両立を追求した仕上がり
・汚れがつきにくい材質のため虫歯になりにくく、経年劣化による変色がない
・金属を使用していないため体に優しい
・写真撮影による色合わせや、より自然な見た目を出すための色付け(ステイニング)を施行
・長持ちさせるためにエッチング、クリーナーでの洗浄など接着前の事前処理の徹底
プレミアムセラミックインレー

・歯との接着性が高いため、外れにくく歯に負担がかからない
・高品質な素材を使用し、熟練の技工士が作成する
・美しさ、強度ともに高品質な仕上がり
・汚れがつきにくい材質のため虫歯になりにくく、経年劣化による変色がない
・金属を使用していないため体に優しい
・写真撮影による色合わせや、より自然な見た目を出すための色付け(ステイニング)を施行
・長持ちさせるためにエッチング、クリーナーでの洗浄など接着前の事前処理の徹底
シンプルセラミッククラウン

・歯との接着性が高いため、外れにくく歯に負担がかからない
・汚れがつきにくい材質のため虫歯になりにくく、経年劣化による変色がない
・金属を使用していないため体に優しい
・写真撮影による色合わせや、より自然な見た目を出すための色付け(ステイニング)を省いて価格を抑えたプラン
セラミッククラウン

・歯との接着性が高いため、外れにくく歯に負担がかからない
・美しさ、強度の両立を追求した仕上がり
・汚れがつきにくい材質のため虫歯になりにくく、経年劣化による変色がない
・金属を使用していないため体に優しい
・写真撮影による色合わせや、より自然な見た目を出すための色付け(ステイニング)を施行
・長持ちさせるためにエッチング、クリーナーでの洗浄など接着前の事前処理の徹底
プレミアムセラミッククラウン

・歯との接着性が高いため、外れにくく歯に負担がかからない
・高品質な素材を使用し、熟練の技工士が作成する
・美しさ、強度ともに高品質な仕上がり
・汚れがつきにくい材質のため虫歯になりにくく、経年劣化による変色がない
・金属を使用していないため体に優しい
・写真撮影による色合わせや、より自然な見た目を出すための色付け(ステイニング)を施行
・長持ちさせるためにエッチング、クリーナーでの洗浄など接着前の事前処理の徹底
ラミネートべニア

・薄いセラミックを貼り付けて歯の形や色を整える
・ホワイトニングでは白くならない歯に対応可能
・経年劣化による変色がなく、汚れが付きにくい
・クラウン(被せ物)と比べて歯を削る量がかなり少なく済む
インレー(詰め物)比較表
※表は左右にスクロールして確認することができます。
| 名称 | 保険(メタルインレー) | 保険(CAD/CAM) | シンプルセラミックインレー | セラミックインレー | プレミアムセラミックインレー |
| 保証 | なし | なし | 3年保証 | 3年保証 | 3年保証 |
| 写真 | ![]() |
![]() |
![]() |
![]() |
![]() |
| 色調 | ★☆☆☆☆ | ★★☆☆☆ | ★★★☆☆ | ★★★★☆ | ★★★★★ |
| 耐変色性 | ▲ 長年使用していると黒ずむ |
▲ 長年使用していると黒ずむ |
◎ 変色なし |
◎ 変色なし |
◎ 変色なし |
| 強度 | ★★★★☆ | ★★☆☆☆ | ★★★☆☆ | ★★★☆☆ | ★★★★★ |
| 素材 | 金を12%含む保険適用の金属 | 強化レジン | セラミックス | セラミックス | セラミックス |
| 長所 | ・保険適応内でできる |
・保険適応内でできる ・金属不使用で身体に優しい |
・金属不使用で身体に優しい ・汚れがつきにくい ・接着性が高く外れにくい ・虫歯になりにくい ・ステイニングを省き価格を抑えたプラン ・院内作成で即日完成(+¥11,000) |
・金属不使用で身体に優しい ・汚れがつきにくい ・接着性が高く外れにくい ・虫歯になりにくい ・長持ちさせるための事前処理の徹底 ・写真撮影による色合わせ ・自然な見た目へ近づける色付け(ステイニング) ・美しさと強度の両立を追求 |
・金属不使用で身体に優しい ・汚れがつきにくい ・接着性が高く外れにくい ・虫歯になりにくい ・長持ちさせるための事前処理の徹底 ・熟練技工士が作成 ・美しさ・強度ともに高品質 |
| 短所 | ・金属むき出し ・2次むし歯になりやすい ・金属アレルギーになる可能性がある ・外れやすい |
・2次むし歯になりやすい ・外れやすい ・割れる可能性がある |
・他のセラミックに比べやや色調調整が劣る ・保険適応外 |
・保険適応外 | ・保険適応外 |
クラウン(被せ物)比較表
※表は左右にスクロールして確認することができます。
| 名称 | 保険(メタルクラウン) | 保険(CAD/CAM) | シンプルセラミッククラウン | セラミッククラウン | プレミアムセラミッククラウン |
| 保証 | なし | なし | 3年保証 | 3年保証 | 3年保証 |
| 写真 | ![]() |
![]() |
![]() |
![]() |
![]() |
| 色調 | ★☆☆☆☆ | ★★☆☆☆ | ★★★☆☆ | ★★★★☆ | ★★★★★ |
| 耐変色性 | ▲ 長年使用していると黒ずむ |
▲ 長年使用していると黒ずむ |
◎ 変色なし |
◎ 変色なし |
◎ 変色なし |
| 強度 | ★★★★☆ | ★★☆☆☆ | ★★★☆☆ | ★★★☆☆ | ★★★★★ |
| 素材 | 金を12%含む保険適用の金属 | 強化レジン | セラミックス | セラミックス | セラミックス |
| 長所 | ・保険適応内でできる | ・保険適応内でできる ・金属不使用で身体に優しい |
・金属不使用で身体に優しい ・汚れがつきにくい ・変色なし ・接着性が高く外れにくい ・虫歯になりにくい ・ステイニングを省き価格を抑えたプラン ・院内作成で即日完成(+¥11,000) |
・金属不使用で身体に優しい ・汚れがつきにくい ・変色なし ・接着性が高く外れにくい ・虫歯になりにくい ・長持ちさせるための事前処理の徹底 ・写真撮影による色合わせ ・自然な見た目へ近づける色付け(ステイニング) ・美しさと強度の両立を追求 |
・金属不使用で身体に優しい ・汚れがつきにくい ・変色なし ・接着性が高く外れにくい ・虫歯になりにくい ・長持ちさせるための事前処理の徹底 ・写真撮影による色合わせ ・自然な見た目へ近づける色付け(ステイニング) ・熟練技工士が作成 ・美しさ・強度ともに高品質 ・天然歯に近い審美性 |
| 短所 | ・変色と金属の露出 ・見た目が気になることがある ・金属アレルギーがある人は不向き ・虫歯になりやすい |
・年月が経つと変色する ・外れやすい ・汚れが付きやすい ・強度が弱い ・適応部位が限られる |
・他のセラミックに比べやや色調調整が劣る ・保険適応外 |
・保険適応外 | ・保険適応外 |
セラミック治療 症例紹介
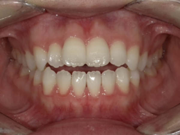
術前
術後
| 治療内容 | ①ラミネートベニア ②セラミッククラウン |
| 患者情報 | 30代女性 |
| 治療詳細 | 患者様は右上前歯の変色を気にされており、その歯は失活歯(神経を取る処置をしている歯)による黒ずみであった。失活歯はホワイトニングによる色調の改善が難しいため、補綴治療(つめもの・被せ物治療)で審美の改善を行った。 施術する歯に軽度の叢生(がたがたに重なった歯並び)があり矯正治療を勧めたが患者様は矯正を望まなかったため、色調だけでなく歯牙形態も綺麗に見えるように補綴物を作成した。 ①は切削量が少なくなるようラミネートベニア(歯の表面を薄く削り、薄いセラミック製のシェルをつけ爪のように貼り付ける処置)にすることで、被せ物よりも歯の切削量を少なく抑えた状態で審美面の改善を行った。 ②は色調と歯並びの両方を改善するためにラミネートベニアよりもクラウン(被せ物)治療の方が適切と判断し、実施した。 |
| 治療期間 | 6週間(2025/03/18〜2025/04/30) |
| 治療費用 | ラミネートベニア 税抜 100,000円 税込 110,000円 セラミッククラウン 税抜 100,000円 税込 110,000円 合計 税抜 200,000円 税込 220,000円 |
| リスク副作用 | ・接着剤の経年劣化や強い力によって補綴物に剥がれや欠けが生じる場合がある。 ・失活歯は生活歯よりも強度が低くなるため、経年劣化や強い力によって歯に割れや欠けが生じる可能性がある。 |
術前
術後
| 治療内容 | セラミック治療、自費レジン充填治療 |
| 患者情報 | 50代女性 |
| 治療内容 | 患者様は見た目で金属が見えることを気にされていた。セラミック治療をする事による見た目の改善と長期的に虫歯になるリスクを下げられることを説明し、ご納得いただいた。 また、詰め物の面積が狭いところはコストを抑えて自費の樹脂治療を行うことを提案し、セラミック治療と合わせてメタルフリー治療を行った。 |
| 治療期間 | 4ヶ月(2024/01/30〜2024/05/20) |
| 治療費用 | 税抜 340,000円 税込 374,000円 |
| リスク副作用 | 可能性は低いものの樹脂アレルギー発症の恐れがあることを説明したが、問題はなかった。 |
ホワイトニング
ホワイトニングとは
歯のホワイトニングは、専用の薬剤を使用して歯を内面から白くする方法です。
コーヒーや紅茶、タバコによる着色汚れのうち、歯の表面に付着したものはクリーニングで落とせます。ですが歯の内部まで浸透した着色に関しては、ホワイトニングを行わなければ改善できません。
歯を削らずに本来の歯の色よりも白くできるため、歯の負担を最小限にしながら美しい見た目を手に入れたい方に最適です。
※歯茎に炎症が生じている状態のままホワイトニングを実施すると、ホワイトニング効果が低下したり歯茎に痛みが出ることがあります。初回来院時はホワイトニングが実施可能な口腔内かを確認するための歯周検査を行います。
ホワイトニングの種類と違い
当院では「オフィスホワイトニング」「ホームホワイトニング」の2種類をご用意しています。
両方を併用する「デュアルホワイトニング」も可能ですので、担当歯科衛生士にご相談ください。
オフィスホワイトニング
歯科医院で専用の薬剤と機械を使い、短時間で歯を白くする方法です。
即効性があるため、早く歯を白くしたい方に向いています。
ホームホワイトニング
専用のマウスピースと薬剤を使用してご自宅で行うホワイトニングです。
自宅で好きな時に行えるため、色戻りの予防のためのタッチアップに使用することも可能です。
デュアルホワイトニング
オフィスホワイトニングとホームホワイトニングを併用し、最大限歯を白くかつ長持ちさせる方法です。
先にオフィスホワイトニングで短期間で歯を白くし、その後ホームホワイトニングでさらに歯を白くしつつ色戻りも防止する方法です。
とても綺麗な仕上がりが長期的に継続するのでおすすめです。

| オフィスホワイトニング | ホームホワイトニング | |
|---|---|---|
| 方法 | 歯科医院で施術 | 自宅で実施 |
| 効果が出るまでの期間 | 1回目で変化を感じやすい | 数週間かけて徐々に白くなる |
| 最大限白くなるまでに 必要とされる平均期間 |
通院3回〜4回 | 6週間 |
| 白さの持続性 | 半年〜1年 | 1年以上(継続使用で永続) |
| 知覚過敏 | 出る可能性がある | 出る可能性があるが調整可能 |
| 通院回数 | 1〜4回 | 2回 |
| こんな人におすすめ | 早く白くしたい人 | 自分のタイミングで白くしたい人 |
ホワイトニングが適さないケース
以下のような場合、ホワイトニングを行っても効果が期待できないことがあります。
- 詰め物や被せ物がある歯(人工物の色は変わりません)
- 神経を失った歯(黒ずんで見える歯はホワイトニングでは白くできません)
- 生まれつき変色している歯(テトラサイクリン歯など、歯の形成不全による変色は白くできません)
また、妊娠中・授乳中の方や重度の知覚過敏がある方もホワイトニングを控えたほうが良いとされています。
気になることがあれば担当歯科衛生士にお気軽にご相談ください。
オフィスホワイトニング
オフィスホワイトニングは、歯科医院で専門の薬剤と機械を使って行うホワイトニングです。高濃度のホワイトニング剤を使用し、短時間で歯を白くすることができます。
結婚式やイベントに向けて早く白くしたい、短期間で効果を実感したいという方におすすめです。
ただし、一般的なオフィスホワイトニングでは知覚過敏が出やすい、色戻りが早い、歯の表面にダメージが入りやすい、費用が高いといったデメリットがあります。
そこで当院ではこれらの欠点を大幅に改善したスーパーポリリンホワイトニングを導入しています。
スーパーポリリンホワイトニングとは

スーパーポリリンホワイトニングとは、「分割ポリリン酸」という成分を使って行うオフィスホワイトニングです。
歯の表面をコーティングしながら歯を白くしていくため、痛みが出にくく色戻りもしにくく、さらには歯にダメージが入りにくい処方のため、短期間に繰り返し行うことが可能です。
「なるべく早く歯を白くしたいけど歯へのダメージや染みるのが心配」という方にも、自信を持っておすすめできる手法です。
従来のホワイトニングとの違い
※表は左右にスクロールして確認することができます。
| スーパーポリリンホワイトニング | 従来のホワイトニング法 | |
|---|---|---|
| 痛み | 痛み、知覚過敏が生じにくい | 痛み、知覚過敏が生じやすい |
| 白さ | 光沢のある自然な白さ | 光沢のない白さになりやすい |
| 色の後戻り | コーティング効果により白さが長持ちする | コーティング効果がないため、施術直後は着色しやすい |
| 歯へのダメージ | 歯を傷つけにくい | ダメージが残ることがある |
| 食事制限 | 施術直後でも食事制限はなし | 着色性の強い食事は控える |
| 治療間隔 | 翌日でも施術可能 | 次回まで2~3週間の期間をあける必要がある |
当院のスーパーポリリンホワイトニングは「薬剤を塗って光を当てる」工程を「1回照射」として数えます。
1回の来院で行う照射回数は、3回照射コースと4回照射コースからお選びいただけます。
ホワイトニングの効果を最大限に引き出すには、合計12回の照射が目安となります(※効果には個人差があります)。そのため、3回照射コースでは4回通院、4回照射コースでは3回通院で完了する計算です。
なお、4回照射のほうがトータルのコストがお得になりますが、1度に行う照射回数が多い分しみる症状を感じる可能性は少し高くなります。
ご自身の体質やご予定に合わせて無理なく続けられる方法をお選びいただけますので、担当歯科衛生士にお気軽にご相談ください。
ホームホワイトニング
ホームホワイトニングは、患者さんご自身がご自宅で行うホワイトニング方法です。まず歯科医院で歯型をとり、専用のマウスピースを作製します。その後、ご自宅でマウスピースにホワイトニングジェルを入れて装着して一定時間過ごすという作業を毎日続けていただきます。
効果が出るまでに数日〜数週間かかりますが、時間をかけてじっくりと薬剤が浸透するため、しみにくく白さが長持ちしやすいのが特徴です。
ホワイトニングの効果を最大限に引き出すには、6週間の毎日継続使用が目安となります(※効果には個人差があります)。
納得のいく白さまでホワイトニングを行った後も、数日に1回〜1週間に1回のペースでホームホワイトニングを行っていただくことで、色戻りすることなく白さをキープすることができます。
ご自分のペースで取り組みたい方や、自然な白さを目指したい方に適しています。ただし、継続が必要なため、コツコツ続けられる方向けです。

当院では、効果と安全性のバランスに優れたホワイトニングジェルを採用しています。
濃度は2種類からお選びいただけます。
10%:歯への刺激が少なく、初めての方にもおすすめ
16%:より高いホワイトニング効果を求める方におすすめ。
ホワイトニング中にしみやすい方には、知覚過敏抑制ジェルをご用意できますので、必要に応じて併用が可能です。
ホームホワイトニングを始める際には、専用マウスピース(上下)、保管用ケース、お好きな濃度のジェル4本をお渡しします。
継続してホワイトニングを行う場合は、ジェル単品を追加購入できます。
デュアルホワイトニング
デュアルホワイトニングは、オフィスホワイトニングとホームホワイトニングの両方を組み合わせて行う方法です。
まずは歯科医院で高濃度の薬剤を使ったオフィスホワイトニングを行い、短期間で歯を白くします。
その後、ご自宅でホームホワイトニングを継続することで、白さをより安定させ長持ちさせることができます。
「なるべく歯を白くしたい」「できるだけ早く、かつ長く白さを保ちたい」という方に最適な方法です。
費用や手間はややかかりますが、ホワイトニングの中でも最も効果的で美しい仕上がりになる方法です。
ホワイトニング 症例紹介
術前

術後

| 治療内容 | オフィスホワイトニング |
| 患者情報 | 10代女性 |
| 治療内容 | 歯の黄ばみを気にしていたため、ホワイトニングは本来20歳以上からの実施が推奨されていることを説明し、了承いただいた上で実施した。 歯がしみやすいため1度の照射回数が少ない3回照射を選択し、2度(合計6回照射)行った。 |
| 治療期間 | 10日(2024/09/07〜2024/09/17) |
| 治療費用 | 税抜 23,636円 税込 26,000円 |
| リスク副作用 | ホワイトニング中、ホワイトニング後1〜2日間は知覚過敏のようなしみる症状が出る恐れがある。 |
術前

術後

| 治療内容 | オフィスホワイトニング |
| 患者情報 | 30代男性 |
| 治療内容 | 歯の黄ばみを気にして来院。4回照射を1度実施した時点で明らかなトーンアップが見られたため、2度目の実施は行わずに経過観察中。色の後戻りが見られた際はタッチアップとして再度オフィスホワイトニングを行う予定。 |
| 治療期間 | 1日 |
| 治療費用 | 税抜 13,636円 税込 15,000円 |
| リスク副作用 | ホワイトニング中、ホワイトニング後1〜2日間は知覚過敏のようなしみる症状が出る恐れがある。歯に元々入っているしま模様が、時間経過で馴染むまでの間は一時的に目立つ。 |
ガムピーリング
ガムピーリングとは
タバコ・加齢・遺伝などが原因で黒ずんでしまった歯ぐきを本来の自然なピンク色に戻す処置のことをガムピーリングと呼びます。
当院では、薬液(フェノール・アルコール)を使用したガムピーリングを採用しています。黒ずみの原因であるメラニン色素が沈着している表層を優しく除去し、数日〜1週間程度でキレイなピンク色の歯ぐきが現れてきます。
処置の流れ

1. 歯ぐきに薬液を塗布
2. 数十秒ほどで歯ぐきの表面が白く変化する
3. 白くなった部分はかさぶたのように変化する
4. 白くなった部分は 数日で自然に剥がれ落ち、下から健康的なピンク色の歯ぐきが再生する

施術回数について
ガムピーリングは1回の施術で自然なピンク色になる場合もあれば、メラニン色素の沈着が強い場合は2〜3回繰り返しの施術が必要になることもあります。
そのため当院では、1回分の料金で最大3回まで(初回+追加2回)の施術に対応しております。
1回実施した時点で歯ぐきの色に満足できた場合はその時点で終了し、2回目・3回目を受ける必要はありません。
1回目の実施できれいになったものの一部黒ずみが残っているなど、もう少しきれいにしたいと感じた場合は追加の2回までは同じ料金の範囲内で施術が可能です。
ただし、歯ぐきの色に満足して終了した後にしばらく経って再度処置をご希望される場合には、新たに料金が発生する点にご注意ください。
こんな方におすすめ
- 歯ぐきの黒ずみが気になって笑顔に自信が持てない方
- タバコの影響で歯肉が黒くなってしまった方
- ブライダルや就職活動など、大切なイベントを控えている方
注意点
• 処置後数日は歯ぐきの薄皮がめくれた状態になるため、自然に回復するまでの間は口内炎に似た痛みを感じる場合があります
• 喫煙や歯ぐきへの刺激などが原因で再度色素沈着が生じることがあります
ガムピーリングができない方
- フェノール、アルコール類にアレルギーがある方
- 歯肉炎、歯周炎などで歯ぐきに炎症のある方
- 妊娠中の方
ガムピーリング 症例紹介
術前

術後

| 治療内容 | ガムピーリング |
| 患者情報 | 40代女性 |
| 治療内容 | 歯肉の黒ずみを気にされていたためガムピーリングを提案した。 はじめは目立つ上の歯茎のみの施術を希望され実施したところ、予想以上に見た目が改善したことに喜んでいただき、下の歯茎への施術もご希望いただいた。 デリケートな歯間乳頭付近については初回に薬液を塗布することは避け、2回目に実施した時に細心の注意を払いながら薬液の塗布を行なった。 上は2回、下は3回目の実施でご満足いただけた。 |
| 治療期間 | 3ヶ月(2024/05/21〜2024/08/20) |
| 治療費用 | 税抜 20,000円 税込 22,000円 |
| リスク副作用 | 処置後数日は歯ぐきの薄皮がめくれた状態になるため、自然に回復するまでの間は口内炎に似た痛みを感じる場合がある |
術前

術後

| 治療内容 | ガムピーリング |
| 患者情報 | 20代女性 |
| 治療内容 | 歯ぐきの黒ずみを気にされていたためガムピーリングを実施した。 上下の歯ぐきに対して同時に実施し、1週間後に2度目を実施した。 2度目の仕上がりにご満足いただけたため3度目は行わずに終了した。 |
| 治療期間 | 2週間 |
| 治療費用 | 税抜 20,000円 税込 22,000円 |
| リスク副作用 | 処置後数日は歯ぐきの薄皮がめくれた状態になるため、自然に回復するまでの間は口内炎に似た痛みを感じる場合がある |





